News
PEER-REVIEWED CASE STUDY · CBP® RESEARCH
Reversing Advanced Spinal Degeneration: How One Patient Regained His Cervical Curve — and His Life
Published in the Journal of Physical Therapy Science (2018) | CBP® Non-Surgical Cervical Lordosis Correction
KEY OUTCOMES AT A GLANCE
+27°
|
100%
|
90%
|
560%
|
|---|
Introduction: When the Neck Curves the Wrong Way
The cervical spine is designed with a gentle backward C-shaped curve — a lordosis of approximately 40° — that distributes the weight of the head, protects neural structures, and maintains the mechanical integrity of the entire spinal column. When this curve is lost or reversed, the consequences extend far beyond neck pain. Altered spinal biomechanics accelerate disc degeneration, compress nerve roots, and — as this remarkable case demonstrates — can disrupt vision, digestion, and overall quality of life.
For decades, the conventional medical response to cervical kyphosis and hypolordosis has been conservative: pain medication, standard physiotherapy, and — in severe cases — surgery. Yet surgery carries significant risks, and standard physiotherapy rarely addresses the underlying structural deformity. The result is a cycle of temporary relief followed by progressive deterioration.
“Despite advanced osteoarthritis and a near-complete loss of cervical lordosis, this patient recovered 27 degrees of cervical curve in just 18 weeks — without surgery.” — Journal of Physical Therapy Science, 2018
The Science: Wolff’s Law and Spinal Remodeling
The theoretical foundation of CBP® structural correction rests on Wolff’s Law — the 19th-century principle that bone remodels in response to mechanical forces. When sustained, directional load is applied to bone and connective tissue, the body adapts by laying down new bone and remodeling existing tissue along lines of stress. This is the same biological mechanism that allows orthodontic braces to straighten teeth and external fixators to lengthen limbs.
Conversely, abnormal spinal loading — such as the forward head translation seen in cervical kyphosis — triggers progressive degenerative remodeling. Anterior disc collapse, osteophyte formation, and facet arthrosis all follow predictable mechanical patterns. CBP® therapy exploits Wolff’s Law in the corrective direction: applying sustained extension traction to reverse these degenerative forces.

Figure 2 · Wolff's Law: Three-stage spinal degeneration from healthy lordosis to advanced osteoarthritis
The Patient: A Complex Case with Multiple Comorbidities
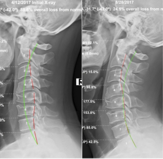
The patient — a 38-year-old male — presented with a history of significant cervical trauma and a constellation of seemingly unrelated health complaints. Radiographic evaluation revealed severe structural compromise: a global C2–C7 hypolordosis of only 5° (normal: ~40°), a localized C4–C6 kyphosis of 15°, and an anterior head translation of 7.3 mm beyond the normal plumb-line position.
His symptom burden was substantial. Chronic neck and upper back pain had been present for years, resistant to prior conservative care. Bilateral hip and knee pain limited his mobility. Blurry peripheral vision had developed insidiously. Chronic diarrhea affected his daily functioning. His Neck Disability Index (NDI) score of 30% indicated moderate disability, and SF-36 health survey scores were markedly depressed across multiple domains.

Figure 3. Before Treatment: Cervical Kyphosis. After Treatment— Restoration of Cervical Curve to the amount possible due to structural deformity of the C4-C6 vertebral segments.
The CBP® Protocol: A Four-Component Structural Correction Program
Chiropractic BioPhysics® (CBP®) is an evidence-based, highly-researched chiropractic technique that combines spinal manipulation with specific postural corrective exercises and structural rehabilitation. Unlike standard chiropractic care, CBP® explicitly targets measurable structural spinal changes using vectored traction, mirror-image exercises, and manipulation — guided by precise radiographic analysis before and after treatment.
01
Cervical Extension Traction
Pope 2-Way device · Up to 20 min/session
Sustained mechanical load gradually reshapes vertebral bone and disc tissue through Wolff’s Law-based remodeling.
02
Mirror Image® Exercises
PowerPlate® vibration platform · Neuromuscular re-education
Precise corrective exercises performed in the exact opposite posture of the patient’s spinal misalignment.
03
Spinal Manipulation
High-velocity, low-amplitude adjustments
Restores segmental mobility, reduces joint fixation, and complements structural traction therapy.
04
Home Care Program
Denneroll™ cervical orthotic · Daily corrective exercises
Extends the clinical correction window between office visits, reinforcing structural changes 24/7.
Over 18 weeks, the patient completed 30 clinical sessions averaging approximately 45–60 minutes each. Cervical extension traction progressed from 5 minutes per session to a maximum of 20 minutes, with traction force titrated to patient tolerance. Mirror Image® exercises were performed on a PowerPlate® vibration platform to enhance neuromuscular engagement. Home use of a Denneroll™ cervical orthotic extended corrective forces between visits.
Radiographic & Clinical Results: Dramatic Structural Improvement
Post-treatment radiographic measurements demonstrated structural changes rarely documented in the peer-reviewed literature without surgical intervention. Global cervical lordosis improved from –4.8° (near-zero) to –31.7° — a gain of 27 degrees representing a 560% improvement. Localised C4–C6 kyphosis reduced by 5°. Anterior head translation decreased from 7.3 mm to 3.8 mm, a 48% normalization.
Clinical disability scores mirrored the radiographic gains. The Neck Disability Index dropped from 30% (moderate disability) to 16% (mild disability) — a clinically meaningful reduction exceeding the established minimal detectable change threshold. Grip strength increased by 4 lbs per hand bilaterally, reflecting improved cervical nerve root function.
Beyond Neck Pain: Remarkable Systemic Health Benefits
Perhaps the most striking aspect of this case is the resolution of symptoms entirely remote from the cervical spine. The patient’s blurry peripheral vision — present for years and evaluated by multiple specialists — resolved completely (100%) following structural cervical correction. Chronic diarrhoea improved by 90%. Hip and knee pain reduced by 80% despite no direct treatment to those regions. Overall energy levels increased by 70%.
These systemic improvements are consistent with the theoretical framework of cervical autonomic dysfunction — the hypothesis that vertebral subluxation and altered cervical mechanics can compress or irritate sympathetic nerve pathways, producing distant visceral and vascular effects. While causation cannot be established from a single case study, the temporal correlation between structural correction and systemic improvement is compelling.
Quality of Life: SF-36 Health Survey Outcomes
The SF-36 Health Survey — a validated, widely-used instrument measuring eight domains of health-related quality of life — confirmed broad improvements across physical and psychosocial dimensions. Physical function scores rose from 50 to 75 (a 50% gain). Bodily pain improved from 33 to 68 (a 106% improvement). Role-physical, vitality, and social functioning domains all showed clinically meaningful gains.
Clinical Implications & Significance
This case carries significant implications for clinicians managing patients with chronic cervical spine conditions. First, it demonstrates that structural correction is achievable even in the presence of advanced osteoarthritis — a finding that challenges the common clinical assumption that degenerative changes represent an irreversible end-stage. Second, it establishes that multimodal CBP® therapy produces superior outcomes compared to individual components in isolation: traction, exercises, manipulation, and home care each contribute to the overall result.
Third — and most importantly for primary care clinicians — it raises the question of cervical structural assessment in patients presenting with unexplained systemic symptoms. Blurry vision, chronic digestive complaints, and widespread musculoskeletal pain are commonly investigated with extensive and expensive specialist workups. This case suggests that cervical radiographic assessment and structural correction should be considered earlier in the clinical pathway.
Key Takeaway: Sustained cervical extension traction, when combined with mirror-image exercises and spinal manipulation, can produce clinically significant structural changes in the cervical spine — even in patients with severe degenerative changes — and may resolve distant systemic symptoms through neurological and biomechanical mechanisms.
Conclusions
- Non-surgical improvement of cervical lordosis is achievable — even with advanced osteoarthritis — using a structured CBP® multimodal protocol.
- Cervical extension traction is the critical active ingredient; adequate dose (up to 20 min/session) and duration (18 weeks) are essential for structural change.
- Structural correction produces benefits extending far beyond neck pain, including resolution of vision disturbance, digestive dysfunction, and widespread musculoskeletal pain.
- Clinicians should consider cervical structural assessment in patients with unexplained systemic symptoms, particularly those with a history of cervical trauma.
- Further randomized controlled trials are warranted to establish the generalizability and long-term durability of CBP® structural outcomes.
References & Acknowledgements
- Deed E. Harrison, et al. Non-Surgical Improvement of Cervical Lordosis: A Case Report. Journal of Physical Therapy Science. 2018.
- Harrison DD, Janik TJ, et al. Chiropractic biophysics technique: a linear algebra approach to posture in chiropractic. J Manipulative Physiol Ther. 1996;19(8):525–535.
- Wolff J. Das Gesetz der Transformation der Knochen [The Law of Bone Remodelling]. Berlin: A. Hirschwald; 1892.
- Vernon H, Mior S. The Neck Disability Index: a study of reliability and validity. J Manipulative Physiol Ther. 1991;14(7):409–415.
- Ware JE, Sherbourne CD. The MOS 36-item short-form health survey (SF-36). Med Care. 1992;30(6):473–483.
© 2018 Journal of Physical Therapy Science · CBP® is a registered trademark of CBP NonProfit, Inc. · www.idealspine.com
About Chiropractic BioPhysics® (CBP®)
Chiropractic BioPhysics® is the most evidence-based, published named chiropractic technique system in the world, with over 350 peer-reviewed publications. CBP® uses precise mathematical spinal models and Mirror Image® adjusting, exercise, and spine remodeling or traction protocols — including the Denneroll orthotic used in this study — to achieve lasting structural correction of spinal alignment. Learn more at idealspine.com and cbpnonprofit.com.
About CBP Non-Profit
This publication reflects the mission of CBP Non-Profit—advancing spine and posture research to improve patient care worldwide. Our ongoing projects continue to validate the role of posture correction in musculoskeletal and neurological health.
Learn more: www.CBPNonprofit.com
About CBP Non-Profit
CBP NonProfit is a 501(c)(3) research foundation dedicated to the advancement of spine rehabilitation through high-quality, peer-reviewed chiropractic and physiotherapy research. With over 350 published studies to date, CBP NonProfit is a global leader in evidence-based spinal care innovation.
CBP NonProfit
Video Library
CBP NonProfit
300+ Peer-Reviewed Publications
Chiropractic Biophysics Non-profit, Inc. is a 501(c)(3) nonprofit corporation dedicated to the advancement of chiropractic principles through scientific research. Dr. Don Harrison (deceased) and his second wife Dr. Deanne LJ Harrison (deceased) founded CBP research foundation in 1982; it was registered as CBP Non-Profit, Inc. in 1989 by Dr. Sang Harrison (Don’s 3rd and final life’s love). Through this organization Dr. Don and colleagues have published over 300 peer-reviewed spine and Chiropractic research publications. Further, CBP Non-Profit, Inc. has funded many scholarships as well as donated chiropractic equipment to many chiropractic colleges; always trying to support chiropractic advancement and education. Dr. Don Harrison was the acting president of CBP Non-Profit, Inc. since 1982. Currently, Dr. Deed Harrison (Don’s son) is the President of CBP Non-Profit, Inc. Read More


























































