News
NEW Study in Healthcare (A Q2 Multi-Disciplinary Journal):
Structural Correction of the Cervical Spine May Change the Recovery Timeline for Whiplash Patients
Eagle, Idaho — February 16, 2026
A newly published multicenter retrospective consecutive case series (Level 4 Evidence in the Hierarchy of research) in Healthcare (February 2026) is challenging one of the most frustrating realities in post-MVC care:
When whiplash patients show little-to-no improvement at 3 months, their prognosis is often considered poor.
But this study suggests that assumption may no longer hold.
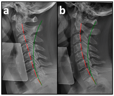
In “Improvement in Cervical Spinal Alignment and Posture May Redefine Recovery Pathways for Motor Vehicle Collision Whiplash Injury,” researchers report on 51 consecutive patients with moderate-to-severe neck pain and disability following motor vehicle collisions — all of whom had plateaued after 3–4 months of prior conservative treatment.
HERE’S WHAT MAKES THIS IMPORTANT
These were not mild cases.
- Average Neck Pain (0–10 scale): 6/10 (moderate)
- Average Neck Disability Index (NDI): 54% (severe disability)
- Marked loss of cervical lordosis
- Significant anterior head translation
Yet after undergoing Chiropractic BioPhysics® (CBP®) structural spinal rehabilitation, patients improved dramatically:
- Neck pain improved from 6.0 to 1.1
- Disability dropped from 54% to 6.8%
- Cervical lordosis improved by more than 12°
- Anterior head translation reduced by more than 12 mm
- (All statistically significant)

Even more compelling:
From the initial Non-CBP pre-treatment data to the 3–4 month mark post standard care (non-corrective traditional care), patients did NOT achieve a clinically meaningful change (did not exceed MCID thresholds). But after CBP structural correction of the cervical spine, they DID.
In other words: improvement occurred after the plateau from standard care — once cervical alignment and posture were directly addressed.
WHY THIS MATTERS TO THE PRACTICING CHIROPRACTOR
We all see it: post-MVC cases that “stall out”after the early phase of care.
This case series suggests sagittal cervical alignment may not just be associated with symptoms — it may influence whether recovery continues or stalls.
The authors also report strong correlations between improved cervical alignment (lordosis and anterior head translation measures) and reductions in both pain and disability.

CLINICALLY, THIS MEANS
Alignment is not cosmetic.
It’s not theoretical.
It may be central to long-term functional recovery in whiplash cases.
QUOTE FROM AUTHOR, DR. DOUGLAS LIGHTSTONE
“The prevailing belief has been that if a whiplash patient hasn’t improved by three months, the window for meaningful recovery is closing. Our findings suggest that may not be true. When we directly addressed cervical alignment and posture, patients who had plateaued began to improve — significantly. This challenges how we think about recovery timelines after motor vehicle collisions.”
BOTTOM LINE
If you treat post-MVC patients who:
- Plateau at 3 months
- Continue to show hypolordosis or anterior head translation
- Have persistent moderate-to-severe NDI scores
This study is worth reading. It presents objective radiographic changes alongside major improvements in patient-reported pain and disability — in a population widely considered at high risk for chronicity.
READ THE FULL ARTICLE HERE:
https://www.mdpi.com/2227-
Study Reference:
Underhill, M.L., Fedorchuk, C.A., Fedorchuk, C.G., Lightstone, D.F. Improvement in Cervical Spinal Alignment and Posture May Redefine Recovery Pathways for Motor Vehicle Collision Whiplash Injury: A Multicenter Retrospective Consecutive Case Series. Healthcare 2026, 14, 373. https://doi.org/10.3390/healthcare14030373
About Dr. Deed E. Harrison
Dr. Harrison is a globally recognized chiropractic researcher and pioneer in spinal rehabilitation methods, serving as President/CEO of Chiropractic BioPhysics® (CBP) NonProfit. He has co-authored more than 260 peer-reviewed publications and lectures internationally on evidence-based structural spine care.
About CBP Non-Profit
This publication reflects the mission of CBP Non-Profit—advancing spine and posture research to improve patient care worldwide. Our ongoing projects continue to validate the role of posture correction in musculoskeletal and neurological health.
Learn more: www.CBPNonprofit.com
About CBP Non-Profit
CBP NonProfit is a 501(c)(3) research foundation dedicated to the advancement of spine rehabilitation through high-quality, peer-reviewed chiropractic and physiotherapy research. With over 350 published studies to date, CBP NonProfit is a global leader in evidence-based spinal care innovation.
CBP NonProfit
Video Library
CBP NonProfit
300+ Peer-Reviewed Publications
Chiropractic Biophysics Non-profit, Inc. is a 501(c)(3) nonprofit corporation dedicated to the advancement of chiropractic principles through scientific research. Dr. Don Harrison (deceased) and his second wife Dr. Deanne LJ Harrison (deceased) founded CBP research foundation in 1982; it was registered as CBP Non-Profit, Inc. in 1989 by Dr. Sang Harrison (Don’s 3rd and final life’s love). Through this organization Dr. Don and colleagues have published over 300 peer-reviewed spine and Chiropractic research publications. Further, CBP Non-Profit, Inc. has funded many scholarships as well as donated chiropractic equipment to many chiropractic colleges; always trying to support chiropractic advancement and education. Dr. Don Harrison was the acting president of CBP Non-Profit, Inc. since 1982. Currently, Dr. Deed Harrison (Don’s son) is the President of CBP Non-Profit, Inc. Read More



















































