News
European Spine Journal Publishes Landmark Study Demonstrating Non-Surgical Reduction of Lumbar Spondylolisthesis Using CBP® Corrective Care
Eagle, Idaho — February 9, 2026
Largest consecutive case series on lumbar spondylolisthesis to date links measurable conservative care spinal correction with significant improvements in pain, function, and quality of life
The Chiropractic BioPhysics® (CBP®) NonProfit Research Foundation announced today the publication of a major peer-reviewed study in the European Spine Journal, a top-tier Q1 international spine journal published by Springer Nature.
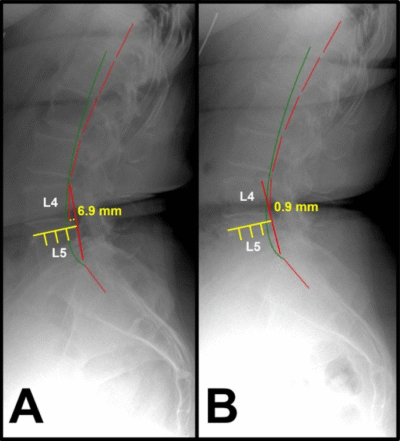
The study, titled “Improvement in physical and mental quality of life following reduction of lumbar spondylolisthesis using Chiropractic BioPhysics® corrective spinal rehabilitation,” reports outcomes from a consecutive case series of 117 patients diagnosed with Grade I–III lumbar anterolisthesis (spondylolisthesis). The findings demonstrate that a structured, non-surgical CBP® corrective spinal rehabilitation program produced statistically significant reductions in vertebral translation along with clinically meaningful improvements in both physical and mental quality of life.
Access the full open-access article:
https://link.springer.com/

A First-of-Its-Kind Clinical Contribution
While lumbar spondylolisthesis is commonly managed with symptom-focused conservative care—or surgery in advanced cases—this study provides rare, good-quality evidence that structural spinal correction is achievable without surgery when care is guided by biomechanical principles and delivered with precision.
Using validated radiographic analysis and standardized SF-36 outcome measures, researchers documented:
- Significant reductions in anterior vertebral translation across all severity levels studied
- Grade I: 58.2% average reduction;
- Grade II: 49.9% average reduction;
- Grade III: 25.4% average reduction;
- Statistically significant and clinically important improvements in bodily pain, physical functioning, and physical and mental health summary scores;
- Correlations between spinal alignment correction and quality-of-life gains, reinforcing the clinical relevance of biomechanical rehabilitation.
The authors note this is the first large, robust case series to document parallel improvements in radiographic alignment and patient-reported physical and mental outcomes following reduction of Grade I–III lumbar anterolisthesis using CBP® corrective spinal rehabilitation.

Challenging Long-Held Clinical Assumptions
Senior author Dr. Deed E. Harrison, President of Chiropractic BioPhysics® technique, emphasized the broader implications of the findings for spine care providers:
“For decades, the prevailing assumption has been that non-surgical care for lumbar spondylolisthesis can only manage symptoms—not change structure or spine alignment. This study directly challenges that belief. When spinal biomechanics are addressed correctly and consistently, we observed measurable reductions in vertebral displacement accompanied by meaningful improvements in pain, function, and mental well-being. This research reinforces the principle that correcting spinal alignment matters—clinically and biologically.”
Implications for Evidence-Based Practice
The study adds to the growing body of literature supporting CBP® as a reproducible, biomechanics-driven model of corrective spinal rehabilitation, particularly for complex lumbar conditions traditionally considered progressive or irreversible without surgical intervention.
Although the authors acknowledge the need for future randomized trials and long-term follow-up, the current findings provide compelling real-world evidence for clinicians seeking non-surgical solutions that extend beyond symptom relief to objective structural improvement.
Study Authors
- Curtis A. Fedorchuk, DC
- Douglas F. Lightstone, DC
- Cole G. Fedorchuk
- Christian J. Fernandez
- Samantha M. DeGeorge
- Deed E. Harrison, DC
Study Reference:
Fedorchuk, C., Lightstone, D., Fedorchuk, C. et al. Improvement in physical and mental quality of life following reduction of lumbar spondylolisthesis using chiropractic BioPhysics® corrective spinal rehabilitation: a case series of 117 patients with lumbar anterolisthesis(es). Eur Spine J (2026). https://doi.org/10.1007/s00586-026-09774-8
About Dr. Deed E. Harrison
Dr. Harrison is a globally recognized chiropractic researcher and pioneer in spinal rehabilitation methods, serving as President/CEO of Chiropractic BioPhysics® (CBP) NonProfit. He has co-authored more than 260 peer-reviewed publications and lectures internationally on evidence-based structural spine care.
About CBP Non-Profit
This publication reflects the mission of CBP Non-Profit—advancing spine and posture research to improve patient care worldwide. Our ongoing projects continue to validate the role of posture correction in musculoskeletal and neurological health.
Learn more: www.CBPNonprofit.com
About CBP Non-Profit
CBP NonProfit is a 501(c)(3) research foundation dedicated to the advancement of spine rehabilitation through high-quality, peer-reviewed chiropractic and physiotherapy research. With over 350 published studies to date, CBP NonProfit is a global leader in evidence-based spinal care innovation.
CBP NonProfit
Video Library
CBP NonProfit
300+ Peer-Reviewed Publications
Chiropractic Biophysics Non-profit, Inc. is a 501(c)(3) nonprofit corporation dedicated to the advancement of chiropractic principles through scientific research. Dr. Don Harrison (deceased) and his second wife Dr. Deanne LJ Harrison (deceased) founded CBP research foundation in 1982; it was registered as CBP Non-Profit, Inc. in 1989 by Dr. Sang Harrison (Don’s 3rd and final life’s love). Through this organization Dr. Don and colleagues have published over 300 peer-reviewed spine and Chiropractic research publications. Further, CBP Non-Profit, Inc. has funded many scholarships as well as donated chiropractic equipment to many chiropractic colleges; always trying to support chiropractic advancement and education. Dr. Don Harrison was the acting president of CBP Non-Profit, Inc. since 1982. Currently, Dr. Deed Harrison (Don’s son) is the President of CBP Non-Profit, Inc. Read More



















































