News
New CBP® Research Demonstrates Meaningful Cervical Kyphosis Correction With Long-Term Clinical Implications
FOR IMMEDIATE RELEASE
New CBP® Research Demonstrates Meaningful Cervical Kyphosis Correction With Long-Term Clinical Implications
Eagle, Idaho — January 07, 2026
Chiropractic BioPhysics® (CBP®) NonProfit is proud to announce its first peer-reviewed publication of 2026, highlighting a compelling case series demonstrating the effectiveness—and clinical responsibility—of structural spinal rehabilitation.
“Long-term stability of reducing cervical kyphosis via Chiropractic Biophysics® extension traction procedures: a case series”
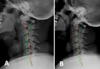
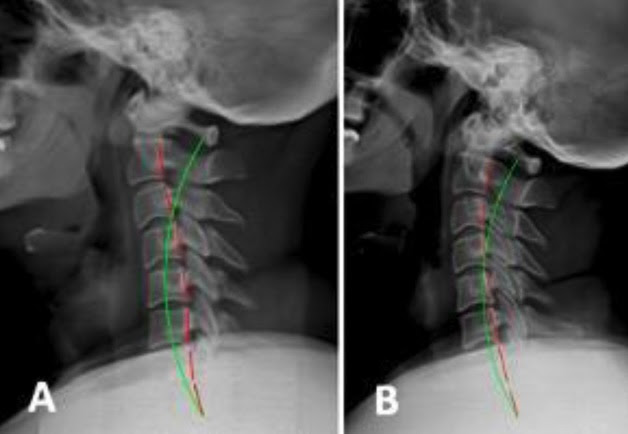
Authored by Tim C. Norton, DC, Paul A. Oakley, DC, Jason W. Haas, DC, and Deed E. Harrison, DC, this newly published case series examines five patients with cervical kyphosis treated using CBP® rehabilitation protocols.
Key outcomes include:
- 24° average increase in global cervical lordosis
- 18° reduction in regional cervical kyphosis
- 5-point improvement in pain intensity
- 24% reduction in disability
- Over one-year follow-up, only a 10° regression in lordosis with no loss of disability improvement
Importantly, the findings reinforce a critical principle long emphasized in CBP® care: structural correction requires long-term stabilization and maintenance.
From the Study Supervisor, Dr. Deed E. Harrison (CBP NonProfit, Inc.):
“This paper reinforces what CBP clinicians see every day—structural spinal rehabilitation works,” said Dr. Deed Harrison, President of Chiropractic BioPhysics® Non-Profit. “However, it also highlights the biological reality that corrected posture and alignment must be maintained. This research strengthens the scientific foundation for long-term corrective and maintenance care, which ultimately benefits both patients and the profession.”

This publication represents the ongoing mission of the CBP® NonProfit: to advance evidence-based spinal correction, elevate chiropractic’s biomechanical credibility, and support clinicians with high-quality, clinically relevant research.
Chiropractors who value structural correction, outcomes-based care, and the future of chiropractic science are encouraged to read and support this work.
Read the full article and support CBP® NonProfit research: https://www.jstage.jst.go.jp/
About CBP Non-Profit
This publication reflects the mission of CBP Non-Profit—advancing spine and posture research to improve patient care worldwide. Our ongoing projects continue to validate the role of posture correction in musculoskeletal and neurological health.
Learn more: www.CBPNonprofit.com
About CBP Non-Profit
CBP NonProfit is a 501(c)(3) research foundation dedicated to the advancement of spine rehabilitation through high-quality, peer-reviewed chiropractic and physiotherapy research. With over 350 published studies to date, CBP NonProfit is a global leader in evidence-based spinal care innovation.
CBP NonProfit
Video Library
CBP NonProfit
300+ Peer-Reviewed Publications
Chiropractic Biophysics Non-profit, Inc. is a 501(c)(3) nonprofit corporation dedicated to the advancement of chiropractic principles through scientific research. Dr. Don Harrison (deceased) and his second wife Dr. Deanne LJ Harrison (deceased) founded CBP research foundation in 1982; it was registered as CBP Non-Profit, Inc. in 1989 by Dr. Sang Harrison (Don’s 3rd and final life’s love). Through this organization Dr. Don and colleagues have published over 300 peer-reviewed spine and Chiropractic research publications. Further, CBP Non-Profit, Inc. has funded many scholarships as well as donated chiropractic equipment to many chiropractic colleges; always trying to support chiropractic advancement and education. Dr. Don Harrison was the acting president of CBP Non-Profit, Inc. since 1982. Currently, Dr. Deed Harrison (Don’s son) is the President of CBP Non-Profit, Inc. Read More



















































